

देश के विभिन्न भागों में फ्लोराइड से दूषित पानी पीने के कारण कई तरह की बीमारियां हो रही हैं। इस समस्या से निपटने के लिए लगातार शोध हो रहे हैं। इसी तरह के एक नए शोध में पता चला है कि फ्लोरिसस के लिए दूषित पानी के अलावा अन्य कारक भी जिम्मेदार हो सकते हैं।
पीने के पानी और मूत्र नमूनों में फ्लोराइड स्तर के संबंधों का आकलन करने के बाद भारतीय शोधकर्ता इस नतीजे पर पहुंचे हैं। यह अध्ययन पश्चिम बंगाल के बीरभूम जिले के फ्लोरोसिस प्रभावित चार गांवों में किया गया है।
शोधकर्ताओं ने पाया कि फ्लोराइड से दूषित पानी पीने के बावजूद लोगों के मूत्र के नमूनों में फ्लोराइड का स्तर पीने के पानी में मौजूद फ्लोराइड की मात्रा से मेल नहीं खाता। इसका मतलब है कि पानी के अलावा अन्य स्रोतों से फ्लोराइड शरीर में पहुंच रहा है। अध्ययनकर्ताओं का कहना है कि यह शोध पुष्टि करता है कि मिट्टी के साथ-साथ गेहूं, चावल और आलू जैसे खाद्य उत्पाद भी फ्लोरोसिस के स्रोत हो सकते हैं। यह बात पहले के अध्ययनों में उभरकर आई है।
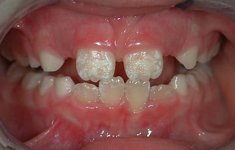
शोधकर्ताओं में शामिल विश्व-भारती, शांतिनिकेतन के शोधकर्ता अंशुमान चट्टोपाध्याय ने इंडिया साइंस वायर को बताया कि “हमने पाया कि अध्ययन क्षेत्र में शामिल गांव नोआपाड़ा में रहने वाले अधिकतम लोग स्वीकार्य सीमा से अधिक फ्लोराइड युक्त पानी पीने से फ्लोरोसिस से ग्रस्त हैं। वे कूल्हे, जोड़ों और रीढ़ की हड्डी में दर्द जैसी गंभीर समस्याओं से पीड़ित हैं, जो हड्डियों के फ्लोरोसिस के लक्षण हैं। इसके साथ ही, दांतों के फ्लोरोसिस के मामले भी देखे गए थे। लेकिन, हैरानी की बात यह है कि पीने के पानी में मौजूद फ्लोराइड की मात्रा और मूत्र नमूनों में पाए गए फ्लोराइड के स्तर के बीच संबंध स्थापित नहीं किया जा सका।”
शरीर में फ्लोराइड अथवा हाइड्रोफ्लोरिक अम्ल के अधिक प्रवेश होने से फ्लोरोसिस रोग होता है। फ्लोराइड मिट्टी अथवा पानी में पाया जाने वाला तत्व है जो आमतौर पर पीने के पानी अथवा भोजन के जरिये शरीर में प्रवेश करता है। इसके कारण दांत, हड्डियां और अन्य शारीरिक अंग प्रभावित हो सकते हैं।
अंशमान चट्टोपाध्याय ने बताया कि "फ्लोरोसिस प्रभावित लोगों को न सिर्फ शारीरिक, बल्कि कई सामाजिक परेशानियों का सामना करना पड़ता है। इसीलिए, लोगों को सिर्फ पीने के लिए फ्लोराइड युक्त दूषित पानी का उपयोग करने से रोकने से फ्लोरोसिस की समस्या का समाधान नहीं हो सकता। बल्कि, इसके अन्य कारणों का पता लगाने के उपाय भी जरूरी हैं।"
अध्ययन में शामिल शोधकर्ताओं में प्रो. अंशुमान चट्टोपाध्याय के अलावा प्रो. शैली भट्टाचार्य, पल्लब शॉ, चयन मुंशी, पारितोष मण्डल और अरपन डे भौमिक शामिल थे। यह अध्ययन शोध पत्रिका करंट साइंस में प्रकाशित किया गया है। (इंडिया साइंस वायर)