

एक्स-रे के जन्म की वर्षगांठ के अवसर पर हर साल आठ नवंबर को विश्व रेडियोग्राफी दिवस मनाया जाता है। आज ऐसी दुनिया की कल्पना करना कठिन है जहां एक्स-रे मौजूद न हो। वे कई चिकित्सा निदान उपकरणों की नींव हैं और डॉक्टरों को कई प्रकार की समस्याओं का पता लगाने में मदद करते हैं।
आश्चर्य की बात यह है कि, वे इसे कुछ ही मिनटों में, पूरी तरह से दर्द रहित तरीके से करते हैं। यह कड़ी मेहनत करने वाले रेडियोग्राफरों और रेडियोलॉजिस्टों का भी जश्न मनाने का दिन है, जो एक्स-रे को संभव बनाते हैं।
विश्व रेडियोग्राफी दिवस का इतिहास
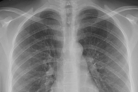
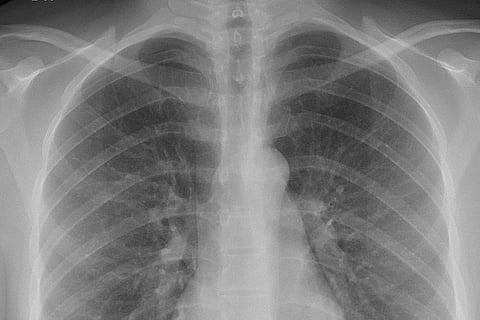
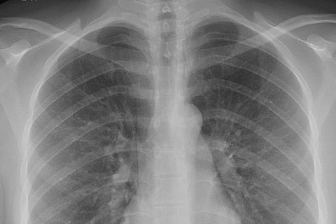
एक्स-रे की खोज 1895 में जर्मनी के वुर्जबर्ग विश्वविद्यालय के प्रोफेसर विल्हेम कॉनराड रॉन्टगन द्वारा की गई थी। रॉन्टगन अपनी प्रयोगशाला में कैथोड-रे ट्यूब के साथ काम कर रहे थे, जब उन्होंने अपनी ट्यूब के पास एक मेज पर क्रिस्टल की एक फ्लोरोसेंट चमक देखी, जिसमें एक नकारात्मक और सकारात्मक इलेक्ट्रोड वाला बल्ब था।
जब ट्यूब से हवा निकाली गई और उच्च वोल्टेज दिया गया, तो ट्यूब ने एक फ्लोरोसेंट चमक पैदा करना शुरू कर दिया। ट्यूब को काले कागज से ढकते हुए, उन्होंने पाया कि ट्यूब से कुछ फीट की दूरी पर रखी सामग्री से हरे रंग की फ्लोरोसेंट रोशनी उत्पन्न होती है।
इस प्रक्रिया को देखते हुए, उन्होंने निष्कर्ष निकाला कि ट्यूब एक नई प्रकार की किरण उत्सर्जित कर रही थी जो कागज को कवर करने और फॉस्फोरसेंट सामग्री को उत्तेजित करने में सक्षम थी। उन्होंने पता लगाया कि यह नई किरण कई पदार्थों से होकर गुजर सकती है और ठोस वस्तुओं पर छाया डाल सकती है।
रॉन्टगन को यह भी एहसास हुआ कि, किरण मानव ऊतकों से तो गुजर सकती है लेकिन हड्डियों और धातु से नहीं। उनके पहले प्रयोगों में से एक उनकी पत्नी के हाथ की एक फिल्म थी जिसमें उनकी हड्डियां और अंगूठी दिखाई देती हैं।
यह खोज एक वैज्ञानिक सफलता थी और इसे वैज्ञानिकों और बाकी सभी लोगों ने उत्साहपूर्ण रुचि के साथ स्वीकार किया था। अन्य वैज्ञानिक आसानी से उनके प्रयोग की नकल कर सकते थे क्योंकि कैथोड ट्यूब उस समय बहुत प्रसिद्ध थी। इस खोज को भारी मीडिया कवरेज मिलने के कारण कई वैज्ञानिकों ने इन नई खोजी गई किरणों को आगे बढ़ाने के लिए शोध के रास्ते खोल दिए।
खोज के ठीक एक महीने बाद यूरोप और अमेरिका में कई चिकित्सा कर्मियों ने रेडियोग्राफ का उपयोग करना शुरू कर दिया। छह महीने बाद, रेडियोग्राफ ने भी घायल सैनिकों की मदद के लिए युद्ध के मैदान में अपना रास्ता खोज लिया।
विश्व रेडियोग्राफी दिवस 2023 की थीम
विश्व रेडियोग्राफी दिवस 2023 का विषय "रोगी सुरक्षा का जश्न" है। यह विषय स्वास्थ्य देखभाल प्रणालियों की प्रभावशीलता को बनाए रखने और रोगियों की भलाई सुनिश्चित करने में पेशेवरों द्वारा निभाई जाने वाली महत्वपूर्ण भूमिका पर प्रकाश डालता है, जो विकिरण सुरक्षा के क्षेत्र से आगे तक फैली हुई है।
विश्व रेडियोग्राफी दिवस का महत्व
विश्व रेडियोग्राफी दिवस महत्वपूर्ण है क्योंकि यह उच्च गुणवत्ता, सुरक्षित स्वास्थ्य सेवा प्रदान करने में मेडिकल इमेजिंग पेशेवरों और रेडियोग्राफरों की महत्वपूर्ण भूमिका को पहचान देता है और उसका जश्न मनाता है। यह विकिरण सुरक्षा, रोगी सुरक्षा और स्वास्थ्य देखभाल प्रणालियों की प्रभावशीलता को बनाए रखने में उनके महत्व पर ध्यान आकर्षित करता है।
असुरक्षित देखभाल से प्रतिकूल परिणाम हो सकते हैं, जो दुनिया भर में मृत्यु और विकलांगता के शीर्ष 10 कारणों में से एक माना जाता है। निम्न और मध्यम आय वाले देशों के अस्पतालों में असुरक्षित देखभाल के कारण 1.34 करोड़ प्रतिकूल घटनाएं होती हैं।
विश्व स्वास्थ्य संगठन (डब्ल्यूएचओ) के मुताबिक, असुरक्षित देखभाल के कारण सालाना 30 लाख से अधिक मौतें होती हैं। निम्न और मध्यम आय वाले देशों में, 100 में से चार लोग असुरक्षित देखभाल के कारण मर जाते हैं।